Hüftdysplasie beim Dobermann

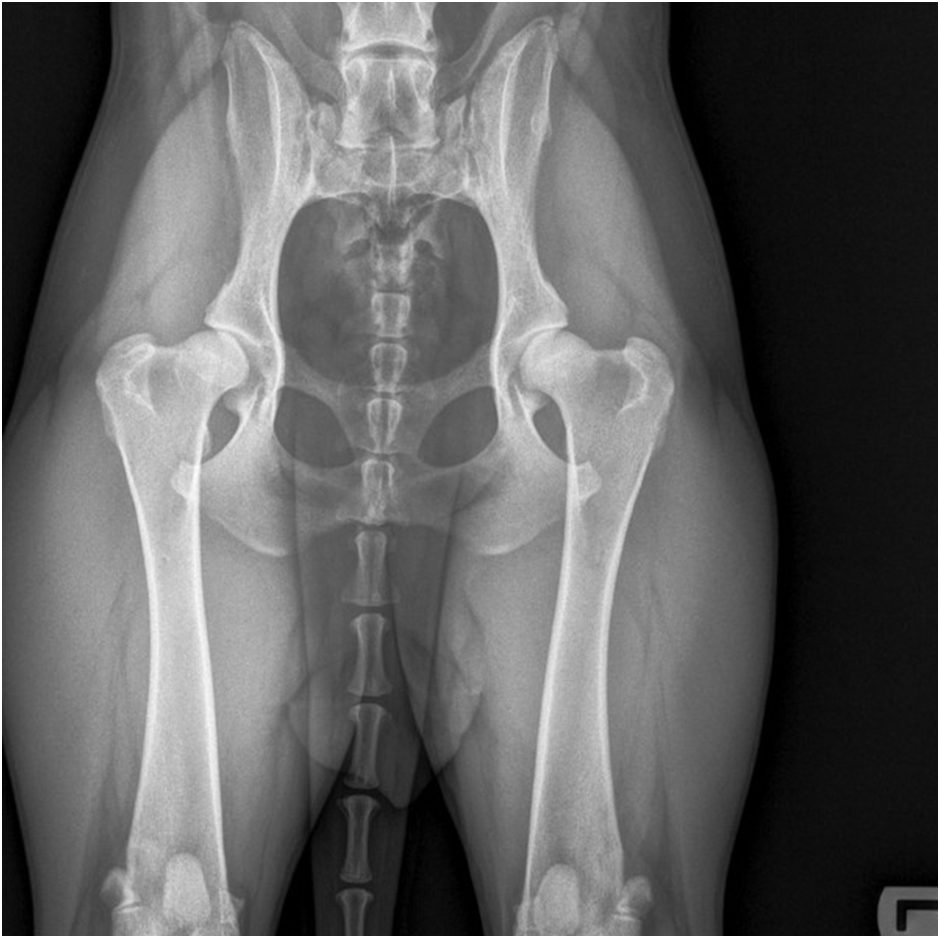
Das Hüftgelenk des Hundes besteht aus einem Hüftkopf und einer Hüftpfanne, die richtig zusammenpassen müssen. Das Röntgenbild unten zeigt ein normales Hüftgelenk (HD A) des Dobermanns.
Wenn Hüftkopf und Hüftpfanne nicht richtig zusammenpassen, liegt eine Hüftdysplasie vor, d. h. das Hüftgelenk ist dann nicht richtig ausgebildet. Bei einer Hüftdysplasie ist der Abstand zwischen Kopf und Pfanne zu groß, was zu Arthrose (Gelenkverschleiß) führt. Der Knorpel verliert an Qualität, die Gelenkschleimhaut entzündet sich (Arthritis) und um das Gelenk herum kommt es zum Knochenumbau. Diese Osteoarthritis verursacht auch Schmerzen. Unten sehen Sie eine Röntgenaufnahme der Hüfte eines Dobermanns mit schwerer Hüftdysplasie, insbesondere am rechten Hüftgelenk (HD E).

Normale Hüfte

Schwere Hüftdysplasie rechts

Ursachen der Hüftdysplasie
Die Hüftdysplasie ist weitgehend erblich bedingt. Wenn also nur mit HD-freien Dobermänner gezüchtet wird, ist das Risiko einer Hüftdysplasie bei den Nachkommen deutlich geringer. Aber auch die Ernährung spielt eine wichtige Rolle bei der Entstehung von Hüftdysplasie. Viel Kalzium (das in früheren Jahren oft gefüttert wurde) oder ein falsches Kalzium-Phosphor-Verhältnis in der Nahrung kann das Knochenwachstum in den Gelenken so stören, dass sich Hüftkopf und -pfanne nicht richtig entwickeln. Schließlich spielt auch Überanstrengung eine Rolle bei der Entwicklung von Hüftdysplasie. Es wird empfohlen, junge Dobermänner bis zum Alter von 1 Jahr nicht am Fahrrad laufen zu lassen, Treppen zu steigen oder auf ihnen herumzuspringen.

Untersuchung auf Hüftdysplasie
Ab 12 Monaten können Sie Ihren Dobermann offiziell auf Hüftdysplasie untersuchen lassen. Der Tierarzt wird dann eine Röntgenaufnahme der Hüften gemacht, in der Regel unter Narkose. Dieses Foto wird dem DCD e.V. übermittelt
Mögliche Ergebnisse können sein:

Zuchtzulassung:
HD A (1), negativ, keine Hinweise auf Hüftdysplasie.
HD B (2), Übergangsweise, leichte Veränderungen sichtbar.

Zuchtausschluss:
HD C (3), leicht positiv.
HD D (4), positive, deutliche Anomalien vorhanden.
HD E (5), stark positiv, die Hüftgelenke sind stark deformiert.

Ein positives HD-Ergebnis bedeutet nicht, dass Ihr Dobermann immer Beschwerden an den Hüften haben wird, ebenso kann ein Hund mit gut entwickelten Hüften auch später noch Schmerzen entwickeln.

Wird eine Hüftdysplasie diagnostiziert, gibt es heute gute (präventive) Behandlungsmethoden, so dass die Schmerzsymptome stark reduziert oder sogar beseitigt werden können.